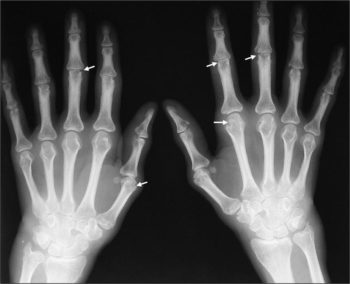
Die RA ist die häufigste entzündliche Gelenkerkrankung (ca. ein Prozent der Bevölkerung). Die Begriffe “chronische Polyarthritis (CP)” und “primär chronische Polyarthritis (CCP)” sollten nicht mehr verwendet werden.
Am Anfang steht eine Entzündung der Synovia, als deren Ursache unterschiedliche Mechanismen diskutiert werden, darunter auch ein infektiöses Agens. Anschließend entwickelt sich eine immunologisch vermittelte chronisch progrediente Entzündungsreaktion, die auf andere Gelenke übergreift.
Labordiagnostik
Laborchemisch finden sich BSG-Anstieg, erhöhtes CRP, normochrome/normozytäre Anämie, vermindertes Serumeisen und Nachweis von Rheumafaktoren (etwa in 80 Prozent).
Diese Laborparameter ermöglichen meistens eine eindeutige Abgrenzung von degenerativen Gelenkerkrankungen. Die Abgrenzung von Kollagenosen bzw. infektiösen oder reaktiven Arthritiden ist nicht immer einfach. Das typische klinische Bild, fehlender Nachweis von Erregern und Antikörpern gegen Doppelstrang-DNS sowie fehlender Multiorganbefall sprechen jedoch für eine rheumatoide Arthritis.
